Dermatology Conditions
- Skin
- Hair
- Nail
Dermatology Treatments
- Skin
- Hair
- Nail
Neuro Surgery & Spine Services
Acne Treatment in Rajajinagar
Also called pimples, is one of the most common skin condition faced by many, men and women, teenagers as well as adults. Hence common knowledge of such condition is necessary.
What are Acne or pimples?
Acne or pimples are bumps on the face that occur due to pathology in the glands in the skin called sebaceous glands that produce oil on the skin surface.
What causes Pimples?
The sebaceous glands activity is under the influence of hormones which in turn is under the influence of the lifestyle of the person.
factors influence: 1. Food we eat, 2. exercise, 3. body weight, 4. stress, and 5. sleep patterns. Genetics also play a role. Certain medications topical/ oral can also trigger acne.
What are different stages of Acne?
Acne independently or in stages present in the following way:
1. Comedones: open/closed also called white/dark heads on face
2. Papules: red/dark colored bumps on skin
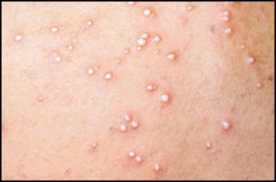
3. Pustules: small pus-filled bumps on face
4. Nodules: swellings on face which are firm and deep
5. Cysts: swellings which are more felt than seen on the skin
Do Acne happen only on face?
No, Acne can happen not only on face but also on shoulders, trunk wherever sebaceous glands are present.
Do Acne happen only in teenage years?
No, Acne can happen at all age groups though commonly encountered during teenage years.
Why Acne has to be treated?
Clinical evidence has showed if we treat the acne at the earliest, the chance of it becoming a scar/ dark spot is less. In addition, treating them boosts up the confidence of the person socially.
How acne is graded?
Acne can be graded into mild moderate or severe based on their number or from Grade 1-4 based on clinical examination.
How Acne is treated?
Acne can be treated with various methods depending on the severity.
Mild varieties can be treated with topical ointments or gel, moderate to severe grades may require short course of oral medications with or without procedures like chemical peels, Lasers, IPL etc
How safe are Chemical peel treatments for Acne?
Chemical peels used for treating acne are weak acids which shrink the sebaceous glands and reduce acne rapidly. They are very safe and have an advantage of using in patients who wish not to consume oral medications. Scientifically also they are ideal as they do not impose drug resistance problems in long run.
How does Lasers/ IPL/ light devises work for acne?
Acne, especially the inflammatory ones i.e. red bumps, pustules nodules and cyst, respond very well to lasers and light devises as they reduce the release of bad chemicals (chemokines) during acne formation.
Can Acne be treated permanently?
No, as mentioned above, acne formation is dependent on hormones, in turn on lifestyle. If one can maintain a healthy lifestyle, the treatment can last fora long.
Does diet affect Acne if so what care to be taken in diet?
Yes, diet can affect Acne formation by overstimulating sebaceous glands. Avoid eating dairy products (cheese, panner, butter, ghee), spicy foods, beverages (coffee, soft drinks, alcohol), carbs (sweets, chocolates), oily/ fried food. Consuming green tea once a day helps by providing antioxidants.
How can acne be prevented from becoming a scar?
By treating the acne at the earliest and not squeezing/ popping them when they are active. Contact us for the best Acne Treatment in Rajajinagar.
COMEDONES
Open/closed
also called White/Black heads on face.
PAPULES
Red/dark colored bumps on skin.
PUSTULES
Small pus-filled bumps on face.
NODYLO-CYSTIC
Swellings on face which are firm and deep.